20. May 2019.

Estetika je teorija ljepote, zakonitosti i harmonije u prirodi i umjetnosti. Estetika osmijeha je određena estetikom lica, estetikom gingive te makro i mikro estetikom zubi. Kao […]
10. May 2019.

Usta i zubi kod ljudi imaju veliku i važnu zadaću.Osim uloge u hranjenju i govoru izuzetno je važan i stetski izgled koji pridonosi našem samopouzdanju. Zdravi […]
6. May 2019.

Ljuskice su idealno dentalno rješenje za ispravljanje velikog broja estetskih nepravilnosti zubi. One su tanke “pločice” izrađene od keramike ili kompozitnog materijala koje se postavljaju na […]
30. April 2019.

Roditelji mogu dopustiti djeci uživanje u slatkišima, ali samo ako je to napravljeno na odgovoran način. Slini u ustima treba i do sat vremena da neutralizira […]
16. April 2019.

Minimalna intervencija( MINIMUM INTERVENTION – MI) je novi pristup liječenja karijesa. Pojam MI obuhvaća procjenu rizika nastanka karijesa, prevenciju nastanka novih lezija i očuvanje preostale strukture […]
15. April 2019.

Najvažniji dio svake zubne četkice jesu njezina vlakna. Tvrtka “Curaprox”, za razliku od drugih proizvođača četkica za zube, za izradu vlakana ne koristi najlon. Umjesto njega […]
29. March 2019.

Danas većina pacijenta pomoć stomatologa traži kada se pojavi zubobolja. Mnogi nisu spremni na dugotrajnije liječenje i mogućnost boli nakon stomatološkog zahvata. U ovom tekstu vam […]
21. March 2019.

Ozon je normalno prisutan u obliku plina koji se sastoji od tri atoma kisika s cikličkom strukturom. On je vrlo kontroverzan plin jer iako je vrlo […]
19. March 2019.

Mnogi smatraju da korištenje zubnog konca i nije toliko važno da bi zubi ostali zdravi. Međutim, da li je to stvarno točno? Danas kada u ponudi […]
18. March 2019.

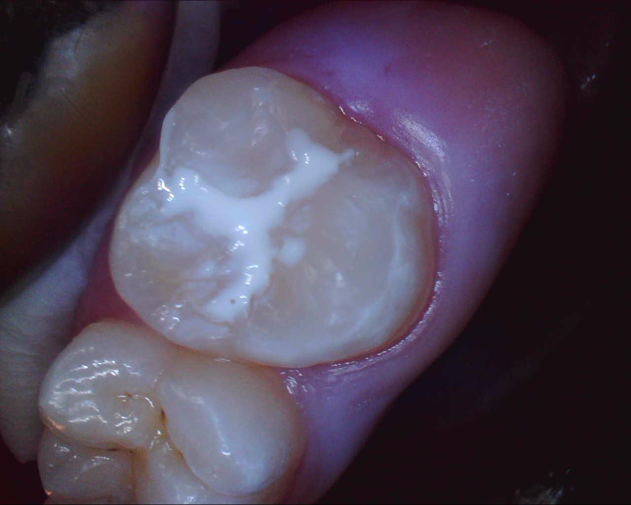
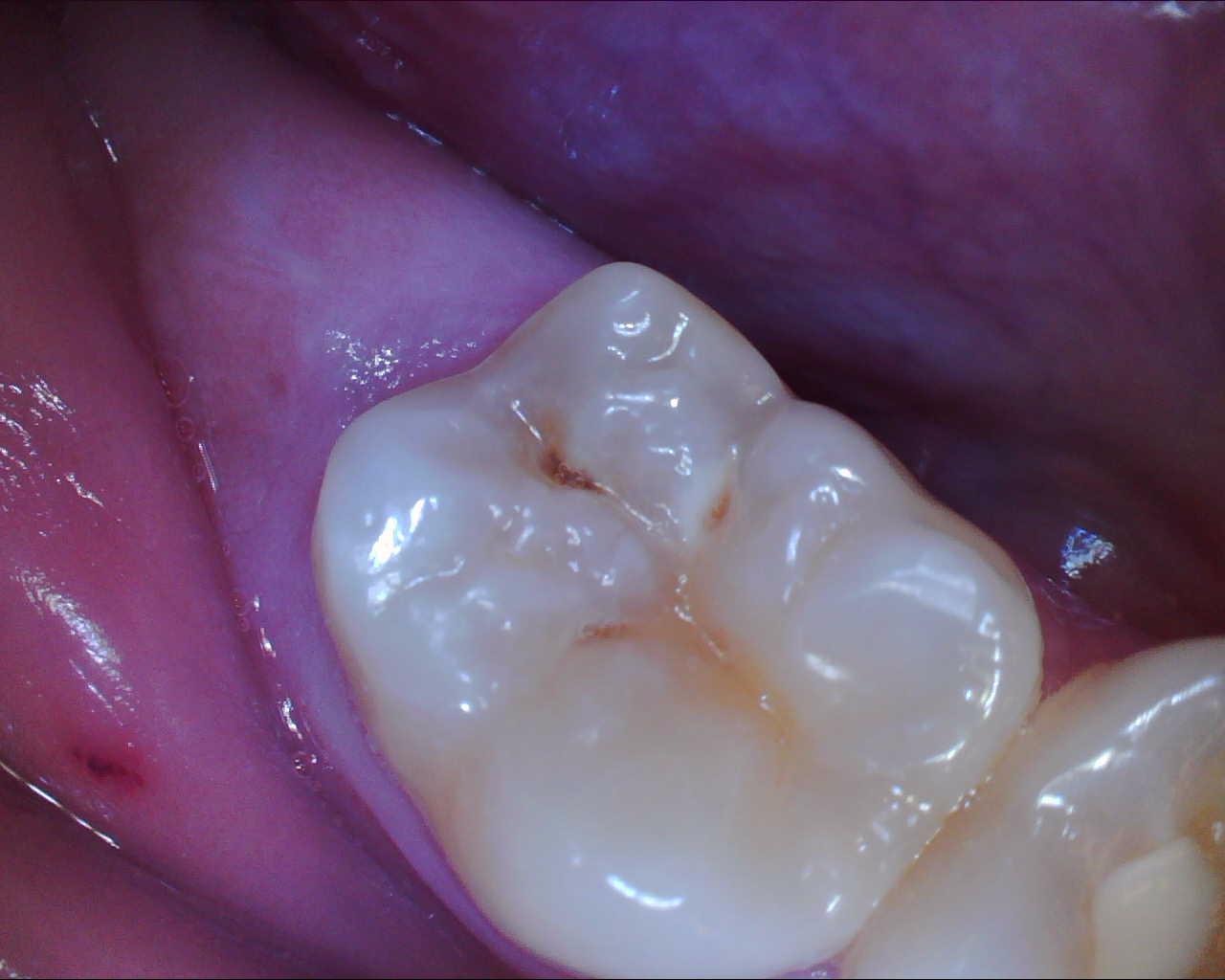
Ova vrsta ispuna svrstana je u preventivne postupke i samim time zauzima vrlo važno mjesto u uspostavljanju i održavanju integriteta dentalnog i ukupnog oralnog zdravlja. Kada […]
13. March 2019.

Napredak laserske tehnologije u zadnjih nekoliko desetljeća doveo je do njegovog uvođenja u svakodnevnu stomatološku praksu. Kad ga uspoređujemo s klasičnim metodama liječenja u stomatologiji pacijenti […]
25. February 2019.

Glavni uzročnik upale desni su bakterije u mekim zubnim naslagama, koje se nakupljaju pri rubu desni i u međuzubnom prostoru, te se pretvaraju u plak. Do […]
13. February 2019.

Tijekom trudnoće također može doći do akutnog pulpitisa ili kronične infekcije koje mogu iznenada izazvati tegobe. Kako bi se za vrijeme trudnoće izbjegli veći zahvati, preporučuje […]
12. February 2019.

Nekada se ortodontska terapija provodila samo kod djece i adolescenta, a danas je nošenje ortodontskog aparata u odrasloj dobi postalo uobičajena pojava. Odrasli pacijenti su sve […]
5. February 2019.

Nicanje zuba je period u životu svake bebe koji nije ugodan i lagan za bebu niti za roditelje. Prvi simptomi mogu se pojaviti i do dva […]
29. January 2019.

Posjet stomatologu i potreba za stomatološkim zahvatom vrlo često izaziva osjećaj straha i nelagode u pacijenata. Osjećaj straha često je praćen simptomima poput ubrzanog rada srca, […]
